| Tag | C-Flag&Strep Tag |
|---|---|
| Target | |
| Synonyms | 5-HT-1A; 5-HT1A; 5HT1a; ADRB2RL1; ADRBRL1; G-21; PFMCD |
| Description | Human 5HT1A-Strep full length protein-synthetic nanodisc |
| Delivery | In Stock |
| Uniprot ID | P08908 |
| Expression Host | HEK293 |
| Protein Families | Druggable Genome, GPCR, Transmembrane |
| Protein Pathways | Neuroactive ligand-receptor interaction |
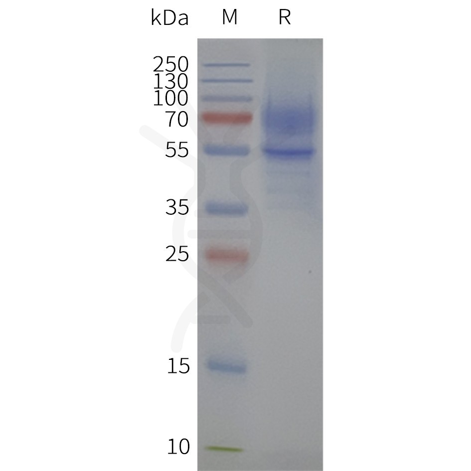
| Molecular Weight | The human full length 5HT1A-Strep protein has a MW of 46.1 kDa |
| Formulation & Reconstitution | Lyophilized from nanodisc solubilization buffer (20 mM Tris-HCl, 150 mM NaCl, pH 8.0). Normally 5% – 8% trehalose is added as protectants before lyophilization. Please see Certificate of Analysis for |
| Storage & Shipping | Store at -20°C to -80°C for 12 months in lyophilized form. After reconstitution, if not intended for use within a month, aliquot and store at -80°C (Avoid repeated freezing and thawing). Lyophilized proteins are shipped at ambient temperature. |
| Background | A G protein-coupled receptor for 5-hydroxytryptamine (serotonin), and belongs to the 5-hydroxytryptamine receptor subfamily. Serotonin has been implicated in a number of physiologic processes and pathologic conditions. Inactivation of this gene in mice results in behavior consistent with an increased anxiety and stress response. Mutation in the promoter of this gene has been associated with menstrual cycle-dependent periodic fevers. |
| Usage | Research use only |
| Conjugate | Unconjugated |
服務熱線
400-006-0995
18062749453




